Saúde
Estatísticas Revelam Prevalência Alarmante de Esteatose Hepática em Todo o Mundo

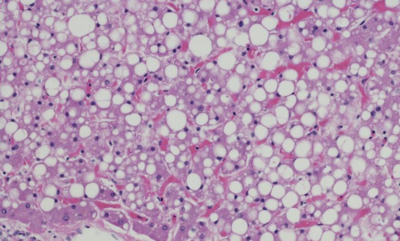
Estudos recentes revelaram que aproximadamente 30% da população global sofre com o acúmulo de gordura no fígado, conhecido como esteatose hepática. Essa condição, muitas vezes associada a uma dieta rica em gorduras e açúcares, além do sedentarismo, pode desencadear complicações sérias, como diabetes tipo 2, hipertensão e colesterol elevado. A gordura em excesso no fígado prejudica suas funções vitais, como a filtragem do sangue, a eliminação de toxinas, o metabolismo de medicamentos, a quebra de gordura, a produção de proteínas e a regulação da coagulação. Quando não tratada, a esteatose hepática pode evoluir para quadros mais graves, como hepatite gordurosa, cirrose hepática e até câncer de fígado. Fonte:metropoles




